
根の治療について
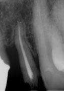
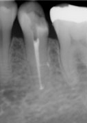
虫歯はじっとしていても痛むような大きさになると、虫歯菌が歯の神経の中に入ってしまい、神経をとらないと痛みが取れません。ところが神経をとった歯の空洞で細菌が繁殖すると人間の免疫力が働かないため、細菌はどんどん増殖して、化膿して「歯が浮いて痛くて噛めない」という状態になります。したがって、細菌が繁殖しないように細菌の繁殖元となる死んだ神経をきれいに取り、細菌の住める空洞をなくすために、緊密に神経をとった根の穴を埋める必要があります。しかしながら、歯の神経の形態は複雑で、時に湾曲したり、枝別れしたりしています(図1)。
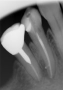
そこで根の形態が複雑だと判断した場合にはCT撮影を行い根の形態を3次元的に把握して治療を行っています(図2)。
図1

図2
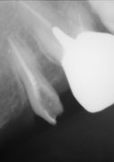
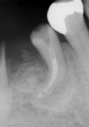
図3
したがって、院長が大学生だった時に学んだ、ステンレススチールのファイル(根の中を掃除する道具)では根の湾曲に追従しないため、当院では全症例ニッケルチタンという柔軟な新しい素材で作られたファイル(従来のステンレススチールに比べ約5倍高価)で根の神経をとった穴を清掃しています(図3)。
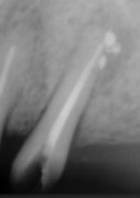
それに加え、根の消毒に使う薬剤にもこだわり、最新の薬剤を使用しています。清掃した根を緊密に詰める方法も大学では既成のゴム栓に接着剤をつけて根を詰めていましたが、枝分かれした根には詰められませんでした。したがって、現在は当医院では、生体に親和性の高い純度の高いガッタパーチャというゴムを軟化して、加圧して根を詰めています。この方法は非常に高い技術が必要ですが、写真のように(図4〜11)非常に良い結果を残しています。
図4
図5
図6
図7
図8
図9
図10
図11
