
歯周病とは?
歯を毎日磨いている人は、日本人では96%。しかし、磨いていることと磨けていることとは違うみたいです。磨く回数が少なく、磨き方も悪いため磨き残した歯垢が原因で歯周病をまねき、中高年以降は大切な自分の歯を2年に1本以上のペースで失っているのが現状です。
なんと成人の8割が歯周病なんです。
歯周病は、歯肉(歯ぐき)や歯槽骨などの歯を支える組織に起きる進行性の病気です。歯肉が腫れる歯肉炎に始まり、炎症が進むと、歯と歯肉の間の溝がしだいに深くなり(歯周ポケット)、やがて歯を抜かなければならない段階まで進行します。
初期の歯肉炎を含めると30歳前後で国民の79%、40歳前後で84%、50歳前後では88%が歯周病にかかっています(平成11年歯科疾患実態調査)。生涯おいしく食事を楽しむためには、毎日のお手入れとプロによるケアが必須です。

歯周病のすすみ方
歯周炎の重症度
歯周病について
糖尿病と歯周病(糖尿病の人は歯周病が悪くなりやすい
糖尿病の方は、
・糖尿病が原因で血行障害が起きる(微小血管障害)。
・高血糖により体を守る白血球(好中球)の機能が低下する
・コラーゲンの合成がうまくいかない。
など、歯周病菌に感染しやすくなります。そして炎症が進み歯周組織が破壊されていきます。歯周病で悩む人には糖尿病の人が多くいますし、歯の治療で歯科医の診断を受けて、糖尿病が見つかるという人もいます。
右の図が示すように、糖尿病者は非糖尿病者に比べ歯周ポケットの深さが深くなります。つまり糖尿病は、歯周病を悪化させる条件になっています。歯周病を改善するためには、糖尿病そのものを治療していくことが必要です。「糖尿病」と「歯周病」は、どちらも生活習慣病です。自分の食生活やライフスタイルを点検し、病気を悪化させている習慣を改善していきましょう。糖尿病そのものを治していかないと、歯周病の治療が無駄になってしまうケースもあります。
また、歯周病の改善が糖尿病の改善に影響するという研究もあります。
1960年 WilliamsとMahanは9人の歯周病を有する糖尿病患者に対し、糖代謝の血液指標を継続的に調べたところ、歯周病が著しく改善されると、9人中7人の糖尿病患者に、必要とするインシュリン量の減少が認められました。このことは、歯周病の改善が糖尿病の血糖コントロールの改善に有効な要素であることを示唆しています。
つまり糖尿病と歯周病は相互に関連し、どちらかが改善するともう一方も改善しますが、どちらかが悪化するともう一方も悪化する可能性が高くなります。
口腔内を清潔にして、よく歯磨きをすることは歯を長持ちさせるだけでなく、健康で長生きをもサポートすることになるのです。
歯周病治療(歯周内科治療)について
歯周病は、歯磨きの不良や免疫力の不足が原因で、歯周病の病原菌が歯茎に取り付いて繁殖し、歯茎の腫れを起こし、徐々に歯を支える骨を溶かす感染症で、成人が歯を失う第一の原因です。
一般に、細菌による感染症であれば、原因となる細菌に効く抗生物質を使えば治すことができます。(例えば、結核にストレプトマイシンというように) しかし、歯周病は歯茎の奥深くで、多くの細菌類が複合して起こすため、単一の薬剤での治療が困難であり、今まではブラッシングと歯石取りを根気良く繰返すことが基本的な治療でした。この治療には患者さんが正しいブラッシングを毎食後きちっと行い、歯科医院で何度も歯石取りを行なうことが必要なため、長期間の通院と絶え間ない努力が必要でした。
そこで、当医院の所属する歯周病内科学研究会では、もっと簡単に歯周病を治すことはできないかということについて研究し、それぞれの患者さんの口の中にいる細菌類に合わせた薬剤の短期間の服用と、薬剤による丁寧な歯磨きによって、歯周病を起こす細菌類を短期間で劇的に減少させる治療法を始めました。指示どおりに薬を飲んで頂いて、歯磨きをしていただければ1週間から10日でその効果を実感できます。



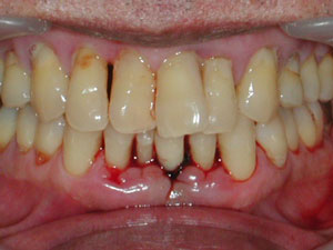
薬を使った後、歯磨きと歯石取りのみで約4ヶ月後にはこんなにきれいになりました。
実際の効果
① 口臭がしなくなる。
② 歯磨きの時血が出なくなる。
③ 歯がつるつるになる。
④ 歯がぐらぐらしなくなる。
⑤ 歯茎がきれいな色になる。
⑦ 朝起きたとき口の中がねばねばしなくなる。
⑧ 歯に噛む力がよみがえる
この方法は、当医院ではほぼ100%の成果をあげ、従来半年かかる治療結果に1ヶ月で到達します。(ヘビースモーカーと大酒を飲む人は効果が薄いそうです。)
効果の出やすい人:歯茎がよく腫れる人、口臭のひどい人、指で歯茎を押さえると膿の出るのがわかる人
健康で長生きをするため何でも食べることのできる元気な歯と歯茎を作りましょう。歯周病は大きく改善します。
最後に!
歯周病は感染症です。この治療で歯茎の状態が良くなったら、感染の機会を作らないよう努力してください。(例えば、食べ物、飲み物の回し飲み、KISSなど)再び、歯周病菌に感染していないかのチェックのため定期検診をお勧めします。
歯の早期喪失と健康寿命
自立して明るく元気に過ごせる生涯の期間を『健康寿命』といいます。日本人の平均寿命は世界一ですが、生活習慣病によって寝たきりなどになる期間が長く、健康寿命をのばすことが国民一人ひとりの課題となっています。 一方、歯の寿命はどうでしょうか?28本の永久歯のうち10本以上を失うと、食事や会話などに支障をきたすことが多くなります。そこで、自分の歯が18本以下になった時点を仮に歯の寿命とすると日本人の平均は60歳代後半。歯をなくしたために食生活などのたのしみを制限される期間が10年以上におよんでいるのです。
中高年が、歯を失う主な原因は歯周病などで生活習慣病のリスクを高めることも知られてきました。歯の寿命が短い人は健康寿命も短い、といえそうです。
歯周病を防ぎ、健康寿命をのばすため、毎日の歯みがきの習慣を見直しましょう。
「早期出生低体重児」と歯周病
歯周病になると、低体重児が生まれやすい?
赤ちゃんが十分成長していないにもかかわらず、出産にいたってしまう “早期出生低体重児”。1996年の米国の調査※によると、歯周病で歯列の60%以上の歯周組織が壊れていると、早産の危険性がずいぶん高くなるというのです。なんと早産で低体重児が生まれる危険率は通常の6倍、初産であれば通常の約7倍にもなるとのこと。早産になる原因は喫煙や飲酒によっても高くなるといわれていますが、そのなかでも歯周病が圧倒的に高いというわけです。※1996年 offenbacher論文による。
歯周病を起こす菌のなかには女性ホルモンを栄養とする細菌も
つわりによる食生活の乱れや、不十分な歯みがきは、歯周病をひき起こす原因になります。歯周病菌がママの口内で繁殖すると、血液を通して全身にまわり、ひいてはそれが低体重児を生む原因になっているわけです。歯周病を起こす細菌のなかには、女性ホルモンを栄養としている細菌もいるという事実もあります。
つわりがひどくて、歯みがきができない場合
ブラッシングする時間帯を、入浴中やテレビを見ている時など、心も体もゆっくりできる時に変えてみてはいかがでしょう。また歯ブラシや歯みがき剤も、ヘッドの小さい歯ブラシや、刺激の少ない歯みがき剤を使うのもひとつの方法です。つわりがひどく歯ブラシさえも口にできない場合は、殺菌効果のあるうがい薬を代用したり、デンタルフロス(糸ようじ)で歯間清掃をすることで回避できます。工夫してみましょう。
歯周病と脳梗塞
一般に、口の中の細菌は胃酸や腸の免疫機構によって退治されて体に害を及ぼすことはありません。ところが、歯周病菌は歯ぐきの毛細血管から直接血管に入り込み、血流に乗って全身に散らばり、あちこちで害を及ぼしていると考えられています。歯周病菌によって作られるアテローム性プラークが血管を詰まらせてしまい、動脈硬化が生じます。脳に動脈硬化が生じることにより、脳梗塞になりやすくなってしまいます。歯が25本未満だと脳梗塞のリスクが1.5倍になるという米国の研究データもあります。
歯周病と喫煙の関係


スモーカーフェイス
タバコを吸う人特有の顔つきを「スモーカーズフェイス」といいます。 特徴としては、
・しわが多い。
・しみや吹き出物などの肌のトラブルが多い。
・唇や歯肉が不健康に黒ずみがある。
・歯の表面へのヤニの着色が目立つ。
1本のタバコを吸うと、ビタミンCの1日の必要量の約半分が使われてしまいます。
どんなに配慮した食事や果物摂取をしても、皮膚細胞の老化に追いつきません。
喫煙は、美肌や健康的な歯肉の色の大敵です。
あなたは、長生きしたいですか?
命をも脅かす喫煙
もし長生きをお望みでしたら、イギリスにおける喫煙と生存率の表をよくご覧ください。
そうです。喫煙習慣があると無い人に比べ、明らかに生存率が悪くなるのです。
60歳ぐらいを境にはっきりと違いがでてきます。外国のデータですが、喫煙者にはショックなデータです。
喫煙による口の不調
①口臭:ヤニと煙の特有な臭いがします。
②着色:歯や歯肉が喫煙者特有のものになります。
③歯周病:歯周病を悪化させる一番の要因です。
進行を促進し、重症化させます。また治療によって改善しても、再発しやすくします。
④がん:喫煙者は、口腔や咽頭がんの発生率が非喫煙者の3倍です。咽頭がんでは、何と32.5倍です。
