
審美歯科(自費治療)について
CR、Br
冠や修復物の種類とその特徴について
■保険外(自費)の修復物
・ジルコニア+セラミック冠
酸化ジルコニウムのフレームを金属の代わりに使用することによって、金属を使用することなく、連結したセラミック冠を実現した冠
利点
①強度があり奥歯のブリッジも可能
②金属アレルギーが発生しない
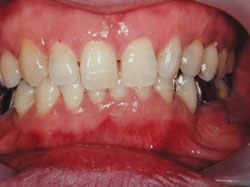
③光の透過性があり天然歯に近い
(右図、向かって右が天然歯、左がジルコニア+セラミック)
④非常に適合精度・色調再現性が高い
欠点
①高価
②天然歯に比べ磨耗しにくい
・メタルボンド(陶材焼付け冠)
利点
①天然歯に似た色調再現性の高い冠です。
②白い部分は陶材なので汚れにくく清潔。
③金属に裏打ちされているので、丈夫で欠けにくい。
(オールセラミック冠に比べて)
④ぐらぐらの歯の連結固定や失った歯を補うための
ブリッジ修復にも使用できる
欠点
①歯ぐきが下がるとふちが見える
②天然歯に比べ磨耗しにくい



・ジルコニアクラウン
酸化ジルコニアを成分としたセラミック単独で冠をつくったもの
利点
①ジルコニア単独なので強度に優れ、ほとんど破折しない。
②汚れにくく、清潔。
③永久に変色が生じない。
④ジルコニアセラミックスに比べて安価
欠点
①色調が単色で、乳白色、透明感がない
②前歯には色調的に問題あり
③天然歯に比べ磨耗しにくい
④一度装着すると、はずしにくい

・e-MAX(セラミックの修復物)
二ケイ酸リチウムとセラミックで冠をつくったもの
利点
①透明感のある白い歯が再現できます。
②硬さは天然歯とほぼ同じ。
(天然歯に調和した自然な磨耗がおきる)
③からだにやさしい(金属アレルギーがない)。
④ねばりづよい(プラスティックより丈夫)。
⑤陶材焼付け冠・オールセラミック冠に比べ安価
欠点
①色調は単一で再現性に劣る(奥歯むき)
②メタルボンドに比べ壊れやすい
③単独の冠しか作れない


・ゴールド(金)の冠
利点
①丈夫
②比較的アレルギーが生じにくい
③天然歯に調和した自然な磨耗がおきる

■特徴
| ジルコニア セラミック |
メタルボンド | ジルコニア クラウン |
e-MAX | ゴールド | |
| 強度 | ◎ | ◎ | ◎ | ◯ | ◎ |
| 透明感色調 | ◎ | ◯ | △ | ◎ | × |
| 清潔さ | ◎ | ◎ | ◎ | ◎ | ◎ |
| アレルギー | ◎ | ◯ | ◎ | ◎ | ◎ |
| 柔らかさ | △ | △ | △ | ◎ | ◎ |
義歯
・金属床の総入れ歯
利点
①薄くできるので異物感が少なく快適。
②しゃべりやすい。
③熱の伝わりが良いので食べ物がおいしく味わえる。
④丈夫で壊れにくい。
⑤金属部分は汚れにくく清潔を保ちやすい。
・金属床の部分入れ歯
利点
①薄くできるので異物感が少なく快適。
②薄くできるのでしゃべりやすい。
③熱の伝わりが良いので食べ物がおいしく味わえる。
④丈夫で壊れにくい。
⑤たわまないので残った歯や歯ぐきに優しい。
⑥金属部分は汚れにくく清潔を保ちやすい。
⑦理想的な設計の入れ歯がつくれる。

・磁性アタッチメント(入れ歯の特殊な留め金)
特徴
磁石(左の写真の矢印)を歯の根と入れ歯の内面に埋め込んで、磁力で入れ歯を吸着さるものです。内面に付着するタイプですので外観も良好です。
*磁石の埋め込みが不可能なケースもあります。
*MRIの撮影に磁石が影響を及ぼす場合があります。

ホワイトニング
・歯の漂白
特徴
個人個人に合わせた漂白装置を使って自宅で簡単に歯を白くすることができます。(所要期間約1ヶ月)
利点
①歯を削らず白くできる。
②自分のペースで漂白できる。
*多少後戻りがあります。
*効果には個人差があります。

・歯茎のメラニン色素による変色の改善処置
麻酔をして、レーザーメスで歯茎の表面を一層焼き取ることによって、歯茎をきれいなピンク色に戻します。
痛みは麻酔時のみで処置中は痛みはありません。
麻酔が覚めた後は、さわると少し痛い程度で、痛み止めは必要ありません。
一回では綺麗にならないので、同じ場所を2〜3回焼き取る必要があります。完了までの期間:およそ1ヶ月


